















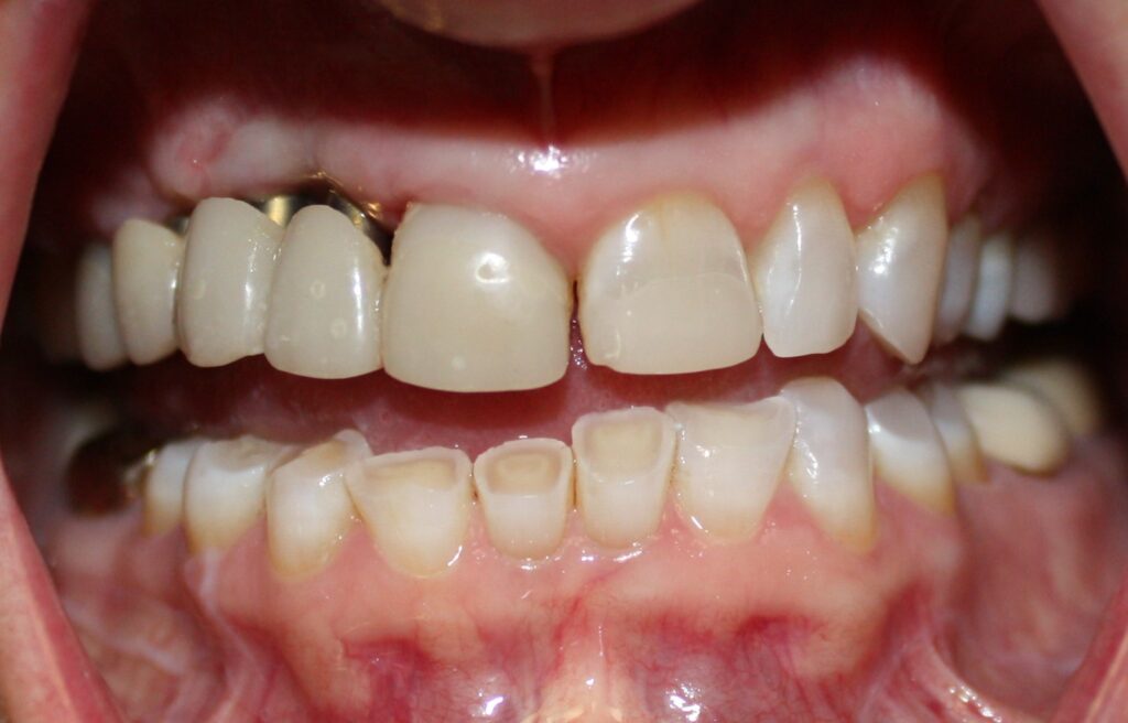
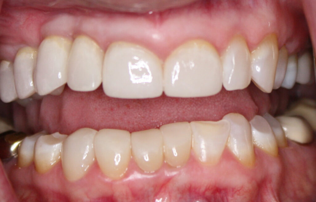
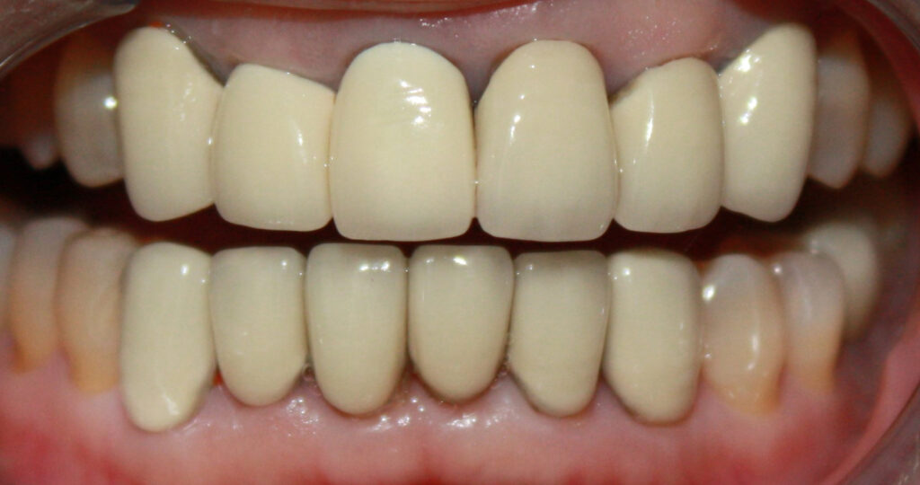
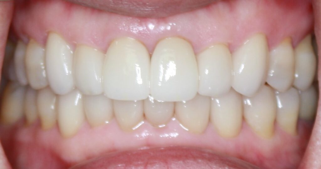
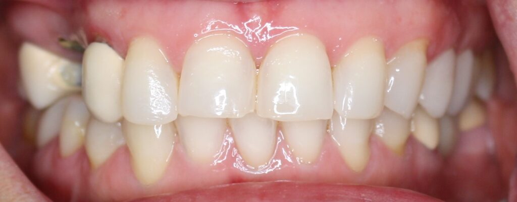
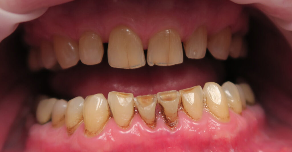
A picture is worth a thousand words, and rather than simply telling you about the quality of care you’ll receive when you visit our office, you can see for yourself with our smile gallery. From minor restorative procedures to full-mouth reconstruction and cosmetic enhancement, we update our gallery regularly with before and after photos reflecting our quality of care. For more information or to set up your next appointment, call Allen Family Dental at 469-342-6644 today.
940 W. Stacy Rd,
Suite 100
Allen, TX 75013
469-342-6644
[email protected]
HOURS:
M - Th: 8 AM - 5 PM
F: 9 AM - 12 PM